高纯度RNA提取试剂盒-ER501
产品名称
TransZol Up Plus RNA Kit ( ER501)
高分文献集锦
•Fan Y H,Xu W C, Gao B Q,et al. Leveraging base excision repair for efficient adenine base editing of mitochondrial DNA[J]. Nature biotechnology, 2025.(IF 33.10)
•Li G, Chen G, Yuan G H, et al. Specific and efficient RNA A-to-I editing through cleavage of an ADAR inhibitor[J]. Nature Biotechnology, 2025.(IF 33.10)
•Du P, Li N, Xiong X, et al. A bivalent vaccine containing D614G and BA. 1 spike trimer proteins or a BA. 1 spike trimer protein booster shows broad neutralizing immunity[J]. Journal of Medical Virology, 2022.(IF 20.69)
•Wang B, Tang X, Yao L, et al. Disruption of USP9X in macrophages promotes foam cell formation and atherosclerosis[J]. The Journal of Clinical Investigation, 2022.(IF 19.46)
•Guo Z, Cao H, Zhao J, et al. A natural uORF variant confers phosphorus acquisition diversity in soybean[J]. Nature Communications, 2022.(IF 17.69)
•Li X, Zhou L, Gao B Q, et al. Highly efficient prime editing by introducing same-sense mutations in pegRNA or stabilizing its structure[J]. Nature Communications, 2022.(IF 17.69)
•Wang L, Xue W, Zhang H, et al. Eliminating base-editor-induced genome-wide and transcriptome-wide off-target mutations[J]. Nature Cell Biology, 2021.(IF 17.30)
•Han W, Gao B Q, Zhu J, et al. Design and application of the transformer base editor in mammalian cells and mice[J]. Nature Protocols, 2023.(IF 14.80)
•Jiang Q, Xie Y, Zhou B, et al. Nanomaterial inactivates environmental virus and enhances plant immunity for controlling tobacco mosaic virus disease[J]. Nature Communications, 2024.(IF 14.70)
•Shan X, Zhao Z, Lai P, et al. RNA nanotherapeutics with fibrosis overexpression and retention for MASH treatment[J]. Nature Communications, 2024.(IF 14.70)
•Zhao Z, Ning J, Bao X, et al. Fecal microbiota transplantation protects rotenone-induced Parkinson’s disease mice via suppressing inflammation mediated by the lipopolysaccharide-TLR4 signaling pathway through the microbiota-gut-brain axis[J]. Microbiome, 2021.(IF 14.65)
•Zhang M, Li F D, Li K, et al. Functional characterization and structural basis of an efficient di-C-glycosyltransferase from Glycyrrhiza glabra[J]. Journal of the American Chemical Society, 2020.(IF 14.40)
•He L, Ma S, Ding Z, et al. Inhibition of NFAT5‐Dependent Astrocyte Swelling Alleviates Neuropathic Pain[J]. Advanced Science, 2024.(IF 14.30)
•Zuo F, Jiang L, Su N, et al. Imaging the dynamics of messenger RNA with a bright and stable green fluorescent RNA[J]. Nature Chemical Biology, 2024.(IF 13.00)
•Wang W Q, Xu D Y, Sui Y P, et al. A multiomic study uncovers a bZIP23-PER1A–mediated detoxification pathway to enhance seed vigor in rice[J]. Proceedings of the National Academy of Sciences, 2022.(IF 11.20)
产品特点
与其它总 RNA 提取方法相比,既具有 TransZol Up 裂解能力强、提取量高、应用范围广的优点,又具有离心柱提取 RNA 纯度高的优点。
• 操作安全性提高:使用 RNA Extraction Agent 替代了氯仿。
• 应用范围广:动物、植物组织、病毒和细菌等样品。小量样品 (50-100 mg 组织、5×106 细胞、200 μl 血液 )。大量样品 ( ≥1 g 组织或 ≥107 细胞), 离心柱的最大吸附量为 100 μg。
• 裂解能力强:裂解充分、速度快,提取量高。
• 提取速度快:一个小时内可完成。
• 操作可视化:溶液呈粉红色,便于分离水相。
• 提取纯度高:DNA 和蛋白质的污染低。
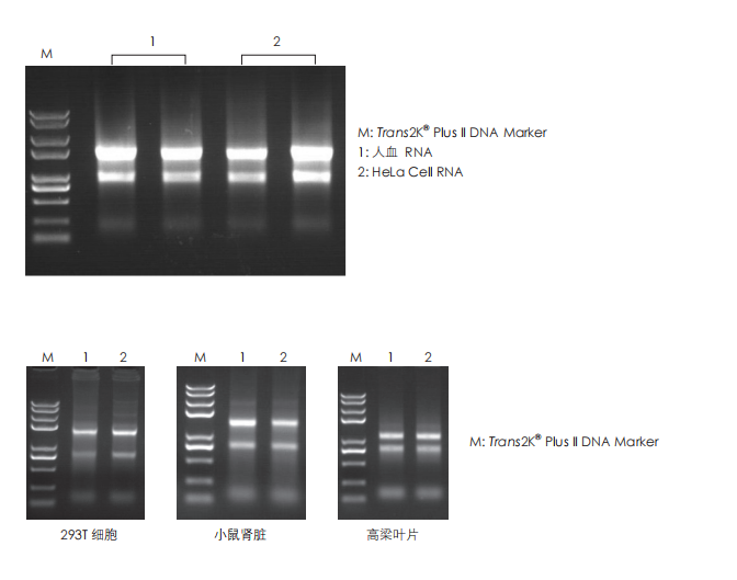
数据展示

产品信息




